Salud Dental Para Todos

   
         
   

 

 

Hipoplasia del esmalte dental

E-mail: Od. Marcelo Alberto Iruretagoyena

La hipoplasia del esmalte se define como un defecto del desarrollo de los tejidos duros del diente que ocurre antes de la erupción del mismo como resultado de un trastorno en la formación del esmalte.

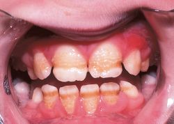
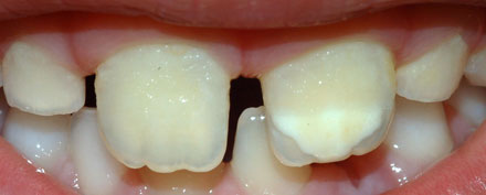
Éstos defectos o anomalías varían en gravedad y se manifiestan clínicamente en su forma más leve como pequeñas manchas blancuzcas u opacas aisladas y diminutas fositas hasta manchas marrones y fosas y escotaduras marcadas que dan al diente un aspecto corroído.

La Amelogénesis imperfecta, se manifiesta como  hipoplasia o hipocalcificación, lo que depende del tiempo de interferencia que haya habido en la formación del esmalte.
  1. Si el trastorno afecta la primera etapa, habrá deficiencia en la cantidad de matriz adamantina formada y resultará una hipoplasia del esmalte, en que el diente aparece con tamaño y color normales, sin pigmentación aparente, pero presenta hipersensibilidad en los cambios térmicos a una rápida abrasión o pérdida del esmalte
  2. Si el daño ocurre en la segunda etapa, cuando la matriz está formada, se originará una hipocalcificación del esmalte; en ella el diente tiene forma y tamaño normales pero la calidad del esmalte es mala, se tiñe fácilmente y se fractura dejando expuesta la dentina.
 

En 1982 la Federación Dental Internacional propuso un criterio de clasificación de hipoplasia para fines epidemiológicos con siete categorías de registro:

CÓDIGO DESCRIPCIÓN IMAGEN
0 Esmalte normal
  • Traslucido y brillante
1 Opacidad del esmalte: Cambio de color del blanco al crema
  • Diagnóstico diferencial con fluorosis. Las fluorosis leve suele mostrar estas características.
2 Capa amarilla u opacidad marrón del emsalte
  • Diagnóstico diferencial con fluorosis. Las fluorosis leve suele mostrar estas características
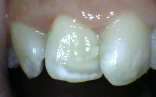
3 Defecto hipoplásico en forma de agujero.
  • Lesión característica con un solo defecto. Ocurre en un solo diente (comúnmente incisivos).Ocasionalmente puede observarse una distribución simétrica.
4 Línea hipoplásica en forma de surco horizontal.
  • Diagnóstico diferencial con fluorosis.  Suele observarse en las fluorosis severas
5 Línea hipoplásica en forma de surco vertical.
  • Diagnóstico diferencial con fluorosis. Suele observarse en las fluorosis severas
6 Ausencia de esmalte.
  • Diagnóstico diferencial con fluorosis.  Suele observarse en las fluorosis severas.
Reference: International Dental Federation 1982
  • Las hipoplasias del esmalte que involucran muchas piezas dentales  suelen estar causadas por la fluorosis del esmalte. Pero existen defectos del esmalte sin fluorosis los cuales son menos extensos y suele estar limitados a una pieza dental.

Bibliografía: Fluorosis dental "Etiología, diagnóstico y tratamiento" Dr. R. Espinosa Fernandez. Dr. Roberto Valencia Hitte. Dr. Israel Ceja Andrade Capítulo 4 Página 45 a 50 Editorial Médica Ripano.2012

   
   

Dirección: Od. Marcelo Alberto Iruretagoyena

Wilde Provincia de Buenos Aires. Argentina

 Revisado: JUNIO 2020