Salud Dental Para Todos

 
 

Ganuloma periférico de células gigantes

Escuela Dental de la Universidad del Sur de California. U.S.A.

Click en las imágenes para ampliar.

Cuando estas lesiones periféricas están casi exclusivamente compuestas de fibroblastos y células  endoteliales y  muchas células gigantes, la lesión es denominada Granulom de Células Gigantes. Clínicamente, pueden parecerse al granuloma periférico o  pueden ser bastante vascular y parecerse el granuloma piógeno.

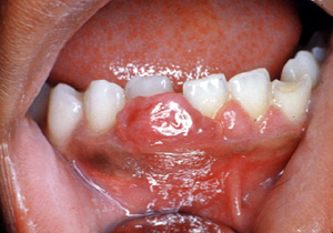
Este ejemplo es bastante vascular. Ha cambiado de sitio al incisivo central hacia lingual. Los granulomas de  celulas gigantes tienen un mayor potencial de crecimiento  que el granulomas periférico y puede cambiar de lugar  los dientes.

Aquí hay un ejemplo típico de un granuloma de celulas gigantes; sin embargo, sólo por la biopsia  escisional  es posible el diagnóstico. 

El término periférico es porque se originan en los tejidos blandos. Hay también un granuloma celulas gigantes "central" que se origina dentro del hueso y es más agresivo y destructivo en su conducta de crecimiento.

Esta imagen ilustra bien cómo estas lesiones pueden crecer sin tratamiento. El hueso subyacente puede ser reabsorbido.
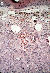
Hay un estroma  fibro-endotelial celular activo que contiene innumerables células gigantes bajo el epitelio. Note el pigmento castaño de la sangre inmediatamente debajo del epitelio. Las células gigantes que proliferan se debe a esta  hemorragia.
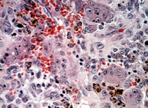
A mayor resolución se observan la configuración celular multinucleada de las células gigantes. Y además  contiene fibroblastos y células endoteliales.
Volver