| |
|
Salud
Dental
Para Todos |
| |
|
Microscopía del carcinoma in situ |
|
Escuela Dental de la Universidad del Sur de
California. U.S.A.
|
|
|
|
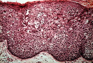
En algunos casos las anormalidades
celulares son tan severas y la maduración del epitelio muy pobre, que
el espesor entero del epitelio no hay diferencia entre la capa basal y
la superficie. Cuando ocurre esto la lesión se designa carcinoma in
situ. Todavía no hay infiltración en el tejido conjuntivo. |
 |
|
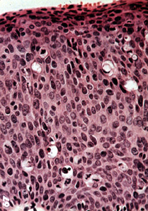
Con una resolución más alta de la
imagen 66, puede ser algo difícil determinar qué lado es la basal y
cual es la superficie. Las anormalidades celulares son obvias y la
maduración es casi inexistente. |
 |
|
El fracaso de la queratinización del
epitelio, como en este
ejemplo típico de carcinoma in situ, significó que la enfermedad sería
muy difícil de descubrir clínicamente. Aunque algunos casos son
indudablemente invisibles, otros son rojos y ligeramente granulares o
aterciopelados debido a la inflamación y aumento de la vascularidad en el tejido
conjuntivo (como es visto aquí), o el carcinoma in situ alterna con
focos de displasia de la mucosa que producen queratina. Esto imparte una
apariencia roja y blanca manchada a la mucosa que es algo más fácil de
descubrir cuando se realiza un examen oral completo. |
 |
|