Salud Dental Para Todos

 
 

Penfigoide

Escuela Dental de la Universidad del Sur de California. U.S.A.

Click en las imágenes para ampliar.

Esta enfermedad es ligeramente menos severa que el pénfigo vulgar. También, se caracteriza por las vesículas y ampollas. En muchos casos se ven estas vesículas y ampollas intactas dentro de la cavidad oral. Es principalmente una enfermedad de membranas mucosas y no involucra a la piel. La cavidad oral es aproximadamente afectada en un  90%  Otros sitios afectados son los conjuntivas de los ojos, membranas nasales, vagina y ano.
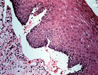
Estas vesículas y ampollas permanecen intactas en la cavidad oral porque la separación ocurre por debajo de la basal epitelial. No hay acantólisis de las células  epiteliales, y la vesícula es, por consiguiente, menos frágil. En esta microfotografía  puede verse al epitelio intacto techando la vesícula. Dentro del lumen hay proteínas y células inflamatorias.
A una mayor resolución, el epitelio puede verse entero, incluso la membrana basal. El tejido conjuntivo queda desnudo y hay una reacción inflamatoria mixta.
Ésta también es una enfermedad  autoirnmune. En esta enfermedad el cuerpo produce  anticuerpos en contra de la basal. Por consiguiente, el diagnóstico puede hacerse por  inmunofluorescencia. La inmunofluorescencia directa en el material de la biopsia generalmente se prefiere a los estudios del suero.

En esta microfotografía el  modelo fluorescente sigue la membrana basal y esto es diagnóstico de enfermedad.

El penfigoide benigno tiene una marcada tendencia a involucrar la encía marginal. La descripción clínica a menudo usada para estas lesiones es "gingivitis descamativa" Debe señalarse que ésta es sólo una descripción clínica y no un diagnóstico definitivo. En la encía  tiene una marcada apariencia eritematosa.
Aquí hay otro paciente con la encía afectada por la enfermedada..
Aquí hay  áreas de ulceración y descamación gingival.
Aquí hay simplemente una vesícula intacta en la encía lingual superior
También pueden afectarse otras áreas del mucosa oral. Este señor presenta ulceraciones dolorosas de los mucosa bucal y labio. El examen clínico reveló  úlceras superficiales irregularmente formadas.
En otra vista, las lesiones están presentes en la mucosa yugal y la encía edentula.
En el interrogatorio el paciente manifiesta incomodidad ocular. Hay eritema e irritación de la conjuntiva de los ojos. Ésta es la consecuencia más seria de la enfermedad porque estas lesiones en la  conjuntiva pueden dejar  cicatriz y con el tiempo pueden producir ceguera.

La biopsia fue realizada y el diagnóstico es pénfigo benigno de las membranas mucosas.

El paciente se le indico corticoides sistémicos y mostró una marcada mejoría en el plaza de una semana. Generalmente los pacientes se tratan inicialmente con grandes dosis de corticoides que se disminuye con el tiempo para conseguir la dosis más baja de mantenimiento.
Aquí hay otra área que ha mejorado con la terapia mencionada (compare con imagen 34).
Volver