Salud Dental Para Todos

 

Periodontología Diagnóstico Limpieza subgingival Incisiones  Remoción del tejido de garnulación Reubicación de los colgajos Sutura Chequeo postoperatorio mediato 

Diagnóstico y análisis de la detrucción tisular en la enfermedad  periodontal severa

Varón de 50 años de edad que es enviado para tratamiento periodontal., nos comenta que ha sido tratado por el procedimiento de raspado y alisado radicular durante algún tiempo con un resultado limitado, observamos que tine una buena higiene dental pero las señales de patología periodontal continúan.  La imagen muetra una lesión de furcación profunda en el primer molar superior con tejido gingival  firme (Fibrosis) que limita el acceso al  fondo de la bolsa por el método no quirúrgico y también la presencia de cálculo  subgingival neutraliza la penetración de la sonda en la región  dentogingival. 

La lesión de furcación del primer molar superior presenta defectos óseos en el sitio de la furca y en mesial y distal. El segundo y primer  premolar tienen movilidad de grado I 

La anatomía de la lesion de  furcación puede ser difícil de registrar usando la sonda periodontal ordinaria. Una cureta delgada o una sonda doblada para dicho propósito es una gran ayuda para descubrir la morfología de la lesión de furca.

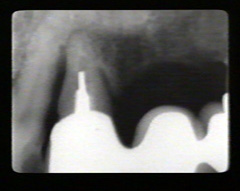
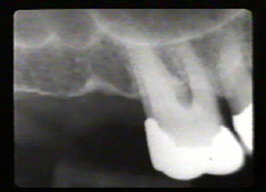
Las radiografías periapicales muestran pérdida de hueso alveolar en aproximadamente la mitad de la longitud de la raíz. La pérdida de hueso en el área de furacación se indica por la radiolucidez aumentada en la unión de las raíces en la región cervical.

Los premolars han perdido más de la la mitad de la longitud de la raíz del hueso alveolar periodontal.  Hay defectos infraóseos en particular en el segumdo premolar en mesial y distal. El modelo semilunar que cubre la raíz del segundo premolar también indica la presencia de una defecto óseo en palatino.

En mesial del lateral derecho como en distal del central derecho aparece una perdida considerable de hueso. El puente fué realizado hace unos seis años como consecuencia de un accidente automovilístico. 

Estas imagenes fueron producidas  por Rolf Attstrom y la Asociación Dental Dinamarquesa en colaboración con  Video  Goof, Dinamarca. Cámara y videoediting Tommy Ols, Videocompiling y Grabación  Anders Nattestad

Rolf Attstrom ,  Professor and Chairman, Department of Periodontology, Centre for Oral Health Sciences, 21421 Malmo, Sweden.

Anders Nattestad

Publicado en Agosto de 1998 y actualizado en Noviembre de 1999

Traducción:  Marcelo A.  Iruretagoyena (Odontólogo) Licenciada Adriana Verón.