Salud Dental Para Todos

   
         
   

 

 

Decoloración dental por tetraciclinas

E-mail: Od. Marcelo Alberto Iruretagoyena

Este tipo de decoloración se produce por la exposición a la tetraciclina  durante la calcificación del esmalte y dentina.

Para mejorar la cosmética del paciente en las decoloraciones leves;  el tratamiento de elección, es el blanqueamiento dental ambulatorio con sus respectivas cubetas con peróxido de carbamida al 16% durante un período de tiempo de 8 horas de exposición diaria, durante 14 días.

La microabrasión no está indicada en las pigmentaciones por tetraciclinas, dado que el pigmento se acumula en dentina y esmalte.

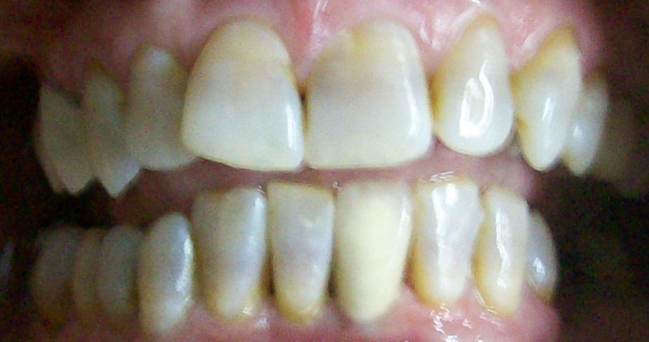
Decoloración leve y moderada

Observe la decoloración grisácea al ocre conformando una banda que corresponde al tiempo de exposición y calcificación dental de dentina y esmalte.

Una limpieza profunda y el blanqueamiento dental ambulatorio mejoran la estética del paciente con  14 días de tratamiento  con peróxido de carbamida al 16%

Observe la banda grisácea en el tercio medio del diente y su posterior decoloración al blanco amarillo en el tercio gingival.

 Hay manchas superficiales  extrínsecas de mate entre los dientes

 

Tinción moderada por tetraciclinas


Decoloración severa

Decoloración severa por tetraciclina: Difícil de mejorar con solo el  blanqueamiento dental. Las coronas de porcelana suelen ser el tratamiento indicado.

Las carillas pueden utilizarse después del tratamiento blanqueador. Si la coloración es muy intensa es muy probable que el tratamiento con carillas no sea satisfactorio.

   
   

Dirección: Od. Marcelo Alberto Iruretagoyena

Wilde Provincia de Buenos Aires. Argentina

 Revisado: JUNIO 2020