|
 |
 |
 |
|
Arco facial montado
en el articulador con los rodetes de mordida |
Montaje de los
modelos en yeso blanco. |
|
 |
 |
 |
|
Las referencias que
se encuentran en el rodete de mordida, debe ser transportada al modelo
de yeso superior. Otra forma de guía es teniendo en cuenta las
referencias de la papila palatina o
incisiva. |
Dientes anatómicos
elegidos para el enfilado según las referencias del rodete y del modelo.
Modificación de los dientes
posteroi nferiores para oclusión lingualizada |
|
 |
 |
|
|
El borde incisal de incisivos centrales y canino
debe estar en un mismo plano. Los laterales deben ubicarse a 0,5 mm.
de este plano, determinando un aspecto juvenil.
Los cuellos dentarios se inclinan hacia distal desde el incisivo
central hacia el canino. La mayor altura del margen gingival es ligeramente distal al
centro mesio-distal del diente. En nigún caso
debe haber overbite ó llamado desbordamiento vertical. |
Aspecto de un
adulto, los incisivos y los caninos están casi en un mismo plano
y se encuentran agrietados. Usted puede posicionar los dientes de
una forma más natural y menos perfecta.
Ver enfilados dentarios
de dientes anteriores de la Guía Vita para Completa. |
|
 |
|
Angulación en relación a la
perpendicular |
 |
|
|
|
 |
| La inclinación buco-palatina de los dientes
antero-superiores:
En el central el eje del diente debe formar una
angulación somera con respecto al plano frontal, en el lateral es mayor y en el canino es
perpendicular al plano oclusal, sin angulación buco lingual. |
|
 |
 |
 |
|
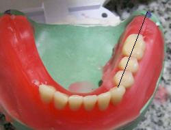
El rodete inferior
sirve como guía o plano oclusal. |
Los incisivos centrales y laterales
deben comenzar a dar vuelta a lo largo de la curvatura del arco óseo.
Como indica la figura del medio. |
|
 |
|
 |
|
Rebajamos el rodete
inferior para comenzar el enfilado de los dientes antero inferiores |
Los dientes inferiores se inclinan similar a los dientes
superiores y los bordes incisales se encuentran al mismo nivel que el
plano oclusal. Esta reglas es para un alineamiento
perfecto; pero en los dientes naturales no siempre sucede. Algún
grado de asimetría puede resultar muy natural y
estético. Ver fotograma superior medio. |
|
 |
|
Angulación en relación a la
perpendicular |
 |
|
|
|
 |
|
Observe como se
construye la llave canina |
La inclinación buco-lingual de los dientes
antero-inferiores: El central está inclinado, el lateral es más
derecho y el canino tiene el cuello prominente. |
|
 |
 |
 |
|
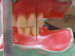
Debe tener un Overjet
de 2mm. Ver líneas de color verde. Y no hay Overbite |
Tirando una línea imaginaria que va de distal de canino hasta la papila
retromolar. |
Siguiendo esa línea se
enfilan los premolares y el molar. La línea debe pasar por el surco
mesio-distal de los premolares y el primer molar. |
|
 |
 |
 |
|
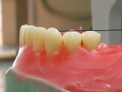
Los premolares y
primer molar deben llegar hasta el plano oclusal |
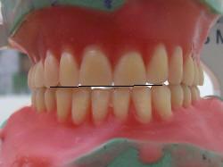
Enfilado inferior
terminado. |
|
 |
 |
 |
|
Característica
distintiva de la oclusión posterior en la completa lingualizada: Las
cúspides palatinas deben contactar con el surco mesio-distal de los
dientes postero-inferiores. Las cúspides vestibulares deben estar
separadas por más 1 mm. |
|
 |
 |
 |
|
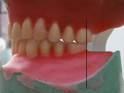
En una vista lateral
las cúspides vestibulares no deben contactar y el enfilado inferior se
termina cuando el reborde alveolar residual del maxilar inferior comienza a ascender. |
No hay Overbite.
Solo hay un Overjet de 2 mm. |
|
 |
 |
 |
-
Contactos en
céntrica, solo en cúspides palatinas y surcos mesio-distal ó fosas
centrales de
dientes postero inferiores.
-
El ajuste oclusal en
excéntrica se realizara con el registro intraoral, en
silicona por adición, durante la prueba del enfilado.
-
Par ser luego remitido
al técnico dental y realizar el desgaste oclusal ó el ajuste de los
dientes en excéntrica con el articulador programado.
|
|
¿Cómo delimitar la cresta
alveolar superior en el modelo de trabajo? |
¿Cómo delimitar la cresta
alveolar inferior en el modelo de trabajo? |
 |
-
Papila incisiva
-
Gran ruga palatina
-
Centro de la cresta alveolar
-
Línea central del modelo
-
Tuberosidad maxilar
-
Línea de vibración del paladar
- Punto del canino
|
 |
-
Trígono retromolar
-
Centro
de la cresta alveolar, (papila incisiva)
-
Centro de la cresta alveolar, lateral
-
Línea central del modelo
- Línea límite
|
|
|
 |
 |
 |
| En el esquema
superior se muestra, como la cúspide palatina contacta con el
surco mesio-distal del molar inferior y este a su vez se encuentra
centrado en el reborde alveolar inferior (CRA). También se muestra
el valor del Overjet. |
Marco porta plantilla para
transferencia |
Para ver si las
cúspides palatinas, concuerdan con la cresta alveolar, utilizamos una plantilla de acetato con su
respectivo marco, para transferir al encerado.
|
|
 |
 |
| Observe como la
línea negra de la plantilla, coincide con los puntos de contacto
de las cúspides palatinas en céntrica. |
 |
 |
|
En "Céntrica"
puntos de contacto en cúspides palatinas y fosas de los
surcos mesio-distales de inferiores. |
|
|
|
La directiva ó regla de
oro |
|
En dientes postroinferiores de 10º
(Semianatómico)
- En los dientes postero-inferiores hay
contactos sobre las inclinaciones interiores de cúspides
funcionales, estos contactos ( en color rojo) mantienen el
equilibrio de la prótesis.
- En verde, marrón y violeta contactos desestabilizadores.
|
|
|
|
Excéntrica en dientes
inferiores de 0 º |
|
|
- Observe en el diagrama superior que en posición
céntrica solo las cúspides palatinas de la prótesis superior,
contactan con el surco mesiodistal de premoloraes y molares
inferiores.
- Y en lateralidad siguen siendo estas cúspides las
que mantienen el equilibrio en el lado de balance y en el de trabajo,
por eso es importante utilizar dientes postero inferiores de 0º o en
su defecto dientes hasta 10º de altura cuspidea. En caso de
usar dientes anatómicos de 20º ó 30º debe realizar el desgaste oclusal
correspondiente para llevarlos a 0º ó 10º
Ver tallado de dientes anatómicos.
Con este tipo de balance las prótesis tienen mayor
estabilidad durante la masticación, disminuyen la presión sobre el
reborde alveolar, retrasando su reabsorción ósea. Como ve este tipo de
oclusión lingualizada es totalmente equilibrada, y mucho más fácil de
confeccionar que el esquema con dientes anatómicos. |
| En las imágenes inferiores se observan los
contactos de balance y trabajo en la prótesis superior lingualizada,
durante las excursiones laterales de la mandíbula. Observe que solo
hay contacto anterior en el canino del lado de trabajo y en el
central del lado de balance, esto sucede así, si usted enfilo los
dientes anterosuperiores de forma juvenil. Ver imagrn derecha |
 |
| Si la alineación de los incisivos superiores
hubiese sido con forma de adulto. Es decir centrales, laterales y
caninos en el mismo plano ocluasl Se hubiera
sumado el contactos del incisivo lateral del lado de balance. |
|
|