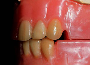
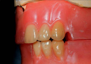
Llave canina

Llave canina correcta

Llave canina incorrecta