Salud Dental Para Todos

 
 

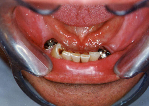
PPR con retenedores estéticos (Ball atache intracoronario a perno )

E-mail: Od. Marcelo Alberto Iruretagoyena

Caso clínico:

Perno colado tipo Richmond con ball atacche

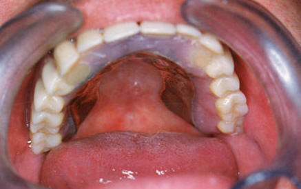
Vistas de las PPR con sus ataches

Caso terminado