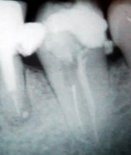
Secuencia técnica para eliminar instrumentos rotos en el conducto radicular

A tener en cuenta:
  •  Una radiografía periapical preoperatoria y
  •  una excelente visión del cabo fracturado  por medio del microscopio dental.

Con una punta de utrasonido para endodoncia se realiza una guía alrededor del instrumento fracturado, usando alternativamente lavajes de Hipoclorito, solución salina y EDTA

Con punta de ultrasonido se elimina el cabo fracturado.