|
Importancia de la radiografía
periapical |
|
E-mail:
Od.
Marcelo Alberto Iruretagoyena
|
¿Que tipo de información nos da una radiografía periapical?
- Grado de calcificación de la cámara pulpar y conductos
radiculares
- Disposición, grado de curvatura y número de conductos
radiculares
- Lesiones periapicales presentes
- Grado de deterioro de la corona clínica por exposición a caries,
obturaciones con mas de tres caras y trauma
- Lesiones periodontales, como perdida ósea vertical y lesiones de
furca en multirradiculares, concomitantes con alteración pulpar.
- Conductometría.
- Conometría
- Postoperatorio inmediato.
- ANEXO: Procesamiento de la película
radiográfica.
|
Técnica
paralela para la toma radiográfica periapical ó
del cono largo:
-
El diente
debe estar tan paralelo y cercano a la
película como sea posible, y
-
La fuente
de los Rayos X debe ser pequeña y estar tan
lejos del diente como sea posible.
|
 |
 |
 |
|
|
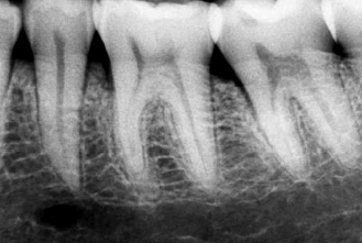
1- Grado de calcificación de la cámara pulpar y conductos
radiculares
La fisiología pulpar puede desarrollar diferentes grados de
calcificación de la cámara y de los conductos radiculares.
Esta calcificación se debe generalmente a un estímulo
o noxa como puede ser una caries o el desgaste de la pieza dentaria
por atrición a través del tiempo. Existen otros tipo de
calcificaciones a nivel del conducto, que no son explicadas por
estímulo alguno.
Se sabe que a edades de entre 70 y 80 años los conductos se
hallan muy calcificados, lo cual implica un desafío para hallar e
instrumentar dichos conductos.
La radiografía periapical es imprescindible para visualizar el
grado de calcificación de la cámara o conducto radicular. Usted
puede modificar el tiempo de exposición de la película radiográfica
(disminuyendo o aumentando la dosis de RX) y verá que aumenta o
disminuye el grado de calcificación de dicha imagen de la pieza dental.
2-
Disposición, grado de curvatura y número de conductos radiculares
La radiografía periapical es la proyección de un objeto
tridimensional sobre una película bidimensional, por
lo tanto observará una superposición de imágenes que
debe ser interpretada.
Por ejemplo usted realiza una radiografía periapical del
14 con una dirección del rayo ortogonal (A) lo
cual determinará una superposición de imágenes entre la raíz
vestibular y palatina.
Pero como conoce por estadística que
más del 75% de los
primeros premolares superiores tienen un conducto el la raíz vestibular y
otro en la palatina. Decide realizar lal
"Técnica de Clark" que consiste desplazar el
rayo central en forma horizontal unos 20º hacia distal
o mesial
(B) Ambas raíces se desplazan en el mismo
sentido. La raíz que esta más próxima a la radiografía
será la que se desplace menos. En el caso del ejemplo de de
la derecha la raíz vestibular se desplaza más hacia mesial.
Y por lo tanto verá en la radiografía la separación de ambos
conductos. Ver imagen inferior
|
 |
3- Lesiones periapicales presentes
Detectadas las lesiones periapicales, debemos evaluar el tipo de
instrumentación biomecánica para la remoción y esterilización
(Desinfección) de los conductos radiculares, el tipo de obturación
(antiséptica o no) así como su pronóstico ulterior.
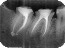
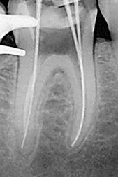
4- Grado de deterioro de la corona clínica por exposición
a caries o trauma
Grandes obturaciones cercanas a la cámara pulpar,
en la mayoría de las veces es directamente proporcional al
grado de calcificación de la cámara y de los conductos
radiculares. Ver primer imagen derecha
La falta de la corona clínica puede ser causa de
perforaciones accidentales. Ver segunda imagen derecha
La utilización sistemática de la radiografía periapical
pre-operatoria evitaría estos accidentes que suelen ser
comunes durante la práctica clínica.
|
  |
5- Lesiones periodontales como perdida ósea vertical y lesiones de
furca en multirradiculares, concomitantes con alteración pulpar.
Este tipo de lesiones deben ser evaluadas como parte de un
proceso de deterioro pulpo-periodontal concomitante o no.
Es sabido que lesiones periodontales afectan la biología pulpar,
llevando a un proceso de necrosis pulpar. Y que lesiones pulpares
del tipo necrótico producen manisfestaciones en la lámina
periodontal. (lesion de furcación)
La radiografía periapical es un elemento valioso para detectar
este tipo de lesiones, por su nivel de detalle ,contraste y bajo
costo.
|
 |
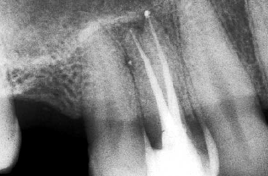
6-
Conductometría con RX:
consiste en determinar la longitud precisa entre el
CDC de cada
conducto y el borde incisal o la cara oclusal del diente en
tratamiento, considerando como longitud óptima 0,5 a 1mm. del ápice radiográfico
AR.
Pasos a
tener en cuenta
1.
Se
toma una radiografía inicial de diagnóstico
ortorradial, con el diente en el centro de la
placa, preferiblemente con técnica paralela. Se
mide la longitud de todo el diente desde el
borde incisal o cúspide oclusal hasta la porción
más apical del diente.
2.
Se
resta 1 mm. a dicha longitud (distancia
existente entre ligamento periodontal y el CDC,
no observable en la radiografía). Conocer la
longitud promedio del diente es de gran ayuda
para determinar la longitud aproximada de
trabajo.
3.
Se desplaza el tope de silicona de una lima K
10 ( la elección del calibre de lima debe estar
relacionado con el espesor del conducto que
muestra la radiografía) y se aplica la longitud
radiográfica a la lima por medio de una regla.
|
|
4.
Se
introduce la lima en el conducto correspondiente
hasta que el tope haga contacto con la
referencia anatómica elegida de la corona.
5.
Se
toma una radiografía, una vez revelada se
verifica la ubicación del instrumento y se hacen
los ajustes necesarios, se considera que debe
estar ubicada a 0,5 – 1 mm del ápice
radiográfico.
6.
Se
retira la lima del conducto y nuevamente se mide
la distancia entre el tope de goma y la punta
del instrumento, esta es la longitud de
trabajo definitiva. Se debe anotar en la
historia clínica las medidas de cada conducto y
el punto de referencia tomado para cada
conducto.
7.
Para conductos que se superponen es necesario
realizar la técnica de doble incidencia o
técnica de Clark, para desproyectar a los
conductos vestibulares del palatino o lingual.
|
Nota: Hoy en día la conductometría por medio de la radiología para
determinar la longitud de trabajo, ha sido
complementada para una mejor exactitud, por los localizadores electrónicos de
ápices, que tienen como objetivo llegar a límite cemento
dentina cemento (CDC)
|
|
7-
Conometria:
Consiste en introducir un cono
maestro del tamaño a la ultima lima usada, para observar
el ajuste al conducto en la región apical. El cono debe
quedar a 0,5 mm del limite radiográfico apical.
Nota: Los cono que adquirimos
en el comercio suelen no estar estandarizados y por ello
no suelen ajustar en la zona apical. Hoy en el mercado
hay conos con conicidades especiales que están
estandarizados y por lo general suelen ajustar muy bien
en la región apical; pero las limas que debe utilizar
también tienen una conicidad especial. Ver
Protaper Universal
y
Mtwo
|
 |
8- Postopertorio inmediato:
Para observar si hay
sobre-obturación, debe entenderse a la sobre-obturación
como el pasaje del cemento sellador por el foramen
apical. Si en el proceso de condensación se observa el
pasaje del extremo del cono de gutapercha hablamos de
una sobre instrumentación.
Nota: las sobreo-bturación con
el cemento sellador suelen ocurrir por el proceso normal
de conformación del conducto, por esto nosotros
utilizamos la técnica
Step
back, para conformar un asiento apical, para evitar
la sobre-instrumentación.
|
 |
|
| ANEXO: Procesamiento de la película
radiográfica El procesamiento de
la película radiográfica es una parte importante del diagnóstico
radiográfico. En breves líneas mencionaremos los errores más comunes que
suelen ocurrir durante el revelado, lavado y fijado de la película
radiográfica, cuando el proceso se realiza en forma manual.
-
Imagen clara:
-
Imagen oscura:
-
Sucede cuando nos pasamos del tiempo necesario
en el paso de revelado. Y se puede solucionar de la
siguiente manera: Extendiendo el tiempo de fijado. Se debe dejar
sumergida la placa radiográfica en el líquido fijador durante 10
a 20 minutos, según las condiciones de temperatura del fijador.
Un aumento de la temperatura produce una reducción del tiempo y
viceversa. Si la película se deja mucho tiempo en fijador,
resultará la desaparición de la imagen por aclaramiento.
-
La luz no se transmite al otro lado de la
radiografía , por lo que es oscura y difícil de interpretar.
Este problema sucede por la falta de fijador. La solución
es poner la película en fijador por espacio de tres minutos.
-
Película color café cuando se seca o que se
oscurecen con el paso del tiempo:
-
Importancia del lavado intermedio de la placa
radiográfica. Antes de pasar la placa del revelador al fijador
es necesario lavar con agua limpia. Este paso es importante ya que
debemos deshacernos de los residuos del reductor. Es necesario
evitar la contaminación del fijador con el reductor, pues este va
inactivando el fijador haciendo que su acción sea cada vez más lenta
hasta neutralizarlo.
-
Mucho tiempo de procesado; suele ocurrir
cuando el revelador se ha oxidado, toma un color oscuro o el fijador
se ha reducido por contaminación con el revelador. En ambos casos de
cambiar los líquidos por soluciones frescas. La temperatura de los
líquidos afecta la velocidad del procesado, líquidos fríos producen
un aumento del tiempo del procesado.
|
|
Siguiente página
|
| Bibliografíia |